锦旗致谢!20岁大学生深覆合矫正完美收官,重塑健康咬合与自信笑容
鲁网3月23日讯 近日,青岛西海岸第二医院口腔正畸科主任杨丽霞收获了一份暖心认可——一名20岁在校大学生患者,在完成深覆合矫正治疗后,特地送来锦旗致谢,锦旗上“微笑设计师 乱牙拯救者”的字样,既是患者的真切赞誉,也是对杨主任专业诊疗与暖心服务的最佳肯定。

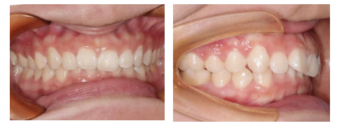
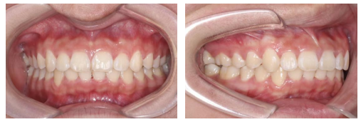
患者为一名在校大学生,初诊时存在深覆合二度、牙列拥挤一度等问题,不仅影响面部美观,咀嚼功能也备受困扰。在一年的诊疗周期中,杨主任展现了极高的专业素养与人文关怀。杨主任温柔有耐心,不仅关注牙齿排列,更秉持“全口健康”理念,每次复诊必先细致检查全口牙体及牙周状况,一旦发现隐患便立即交代清楚并同步处理,绝不让正畸“带病运行”;杨主任会线上耐心指导患者和解答患者疑问、详细表述注意事项,缓解患者焦虑,让矫正全程安心无负担。

经过一年矫治,患者咬合恢复至完美状态,面型显著改善。患者对治疗效果非常满意,对杨主任表达了感谢并赠送了一面锦旗。这面锦旗背后,是杨主任对“医疗不仅是修复,更是守护”的最好诠释。

认识深覆合,别忽视咬合问题
很多人会忽视牙齿咬合的异常,殊不知深覆合作为一种常见的错颌畸形,正悄悄影响着口腔健康与面部状态。
那么,到底什么是深覆合呢?
深覆合是一种常见的错颌畸形,指在上下牙齿咬合时,上颌前牙过度覆盖下颌前牙,垂直方向覆盖超过正常范围。
正常情况下,上前牙覆盖下前牙约 1–3 mm 或不超过下前牙牙冠长度的 1/3。
当上前牙切缘覆盖下前牙牙冠长度超过1/3,或下前牙咬合时触及上前牙舌侧超过1/3,即可诊断为深覆合。
口腔健康与咬合状态息息相关,深覆合的矫正不仅是为了让牙齿排列整齐、面部更美观,更是为了重建健康的咬合关系,守护全身的健康。口腔正畸科医生都会先评估患者的牙性和骨性程度、牙周健康及面部美学,为患者定制个性化综合方案。
如果您或家人存在咬合异常的问题,可以到口腔正畸科进行专业检查,让专业的医生为您的口腔健康保驾护航!
青岛西海岸第二医院口腔科医疗团队(部分)

杨丽霞,口腔正畸学硕士,主治医师。参与正畸临床诊疗工作十余年。现任中华口腔医学会总会、中华口腔正畸专委会及唇腭裂专委会会员;美国invisalign认人证医生。时代天使隐形矫治讲师,ifree隐形矫治讲师;多次参加正畸学术会议,于核心期刊发表论文数篇。
业务特长:主要从事口腔正畸学的临床及教学工作,擅长儿童青少年的早期矫治、成人矫治、正畸-正颌联合治疗、牙周病的正畸治疗等各类错颌畸形的正畸治疗。工作认真细致、有责任心,深受患者好评。

杨建军,青岛大学附属医院口腔颌面外科主任医师、三级教授、博士及硕士研究生导师,主要研究专业为口腔种植学、颞下颌关节病学、𬌗学及牙槽外科学,任教至今培养硕士研究生60余人、博士研究生3人,发表学术论文100余篇,SCI收录15篇(均为第一作者或通讯作者),主编著作1部,获发明专利2项、实用新型专利3项。曾多次获省、市科技进步奖,荣获2019年青岛大学最美教师荣誉称号,现任中华口腔医学会颞下颌关节病学及𬌗学专委会常委、山东省口腔医学会口腔种植专委会常委,曾任中华口腔医学会全科口腔医学专委会常委、中华口腔医学会口腔种植学专委会委员、青岛市口腔医学专委会副会长。
业务特长:擅长复杂牙列缺损伴骨量不足的即刻种植修复,创造了治疗颞下颌关节紊乱病特有效的无创治疗方法,完成多项牙种植和颞下颌关节紊乱病临床治疗学科研课题。

陈杰,主任医师,硕士研究生导师,三级教授。
中华口腔医学会正畸专业委员会第三届、第四届委员;第五届常务委员;
现任《中华口腔正畸学》杂志编委;
山东省口腔医学会正畸专业委员会副主任委员;
山东省医师协会口腔正畸医师分会副主任委员;
青岛市口腔医学会副主任理事、正畸专业委员会副主任委员;
世界正畸联盟(WFO)会员;
业务特长:从事口腔正畸临床医疗、教学、科研等工作30余年。擅长矫治各类错合畸形,在微种植体支抗技术、无托槽隐形矫治技术、修复前正畸矫治,以及牙周病、颞下颌关节紊乱病的辅助矫治,正颌外科术前术后的正畸治疗和阻塞性睡眠呼吸暂停低通气综合征的矫治等领域积累了较丰富的临床经验。

刘聪,口腔科主任,副主任医师。毕业于青岛大学口腔医学专业,青岛妇女儿童医院从事口腔临床工作20余年。曾在北京大学口腔医院、青岛大学附属医院进修交流,世界正畸协会(WFO)会员,中华口腔医学会正畸专业委员会(COS)会员,隐适美无托槽矫正认证医生,时代天使无托槽矫正认证医生,青岛市中西医结合口腔医学专业委员会委员,国家级核心期刊发表论文十几篇,申请专利7项,国家级发明专利4项。
业务特长:各种成人儿童龋病、牙髓病、牙齿根尖周病等无痛舒适化治疗,无痛牙齿拔除术和口腔粘膜病的诊治,舌系带手术及成人全冠、桩冠及贴面等美学修复;成人活动义齿及全口义齿。尤其擅长各种牙列不齐、地包天、门牙前突 埋伏牙等各类牙颌畸形矫正;对儿童婴幼儿期到成年持续个性化口腔健康指导和早期预防具有丰富经验和方法。(鲁网记者)