临沂市中医医院成功实施Y型支架置入术,封堵瘘口畅通呼吸
鲁网10月15日讯 近日,临沂市中医医院解放路院区肺病二科(呼吸与危重症医学科)主任医师耿玉青与麻醉副主任医师黄振强带领团队紧密协作,成功为一名因食管肿瘤导致恶性气道狭窄并伴有气管食管瘘的患者,实施了硬质气管镜下Y型金属覆膜支架置入术(四级手术)。该手术是医院开展的第二例气管支架置入术。
恶性气道狭窄与气管食管瘘是危及生命的急危重症。患者通常表现为极度呼吸困难和因呛咳引发的难治性肺炎等,常规药物治疗往往难以缓解如此危急的状况。在此情况下,最有效的抢救方案是迅速置入支架以扩张狭窄气道并同时封闭瘘口,此举是稳定生命体征、为后续治疗赢得宝贵时间窗的核心所在。
本次接受手术的71岁女性患者,正是面临这样的危急情况。她因“胸闷、喘憋、咳痰一月余,加重伴发热1天”前来就诊。患者既往有食管恶性肿瘤病史,虽曾接受放化疗,但肿瘤仍在恶化,导致呼吸困难入院。进一步检查发现,患者气管严重狭窄,并存在气管食管瘘。由于气道狭窄,患者轻微活动即感憋喘,只能卧床;同时,食物经瘘口误入气管,引发大面积肺炎,痰液难以咳出,存在窒息及生命危险,急需手术干预。
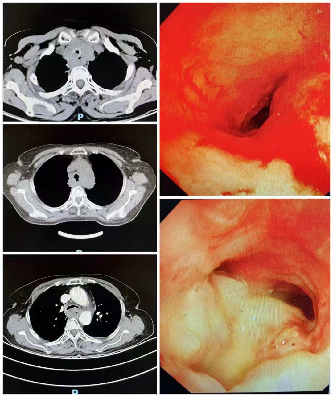
术前胸部CT及气管镜检查提示,患者大气道明显狭窄,狭窄处直径仅约6mm,长度约40mm,远低于正常人15–20mm的气管直径。此外,患者无法耐受缺氧,麻醉风险极高,手术难度大。面对这一复杂病情,肺病二科联合麻醉、医务部、内镜中心及重症医学科等多学科团队,全面评估患者情况,反复讨论并制定了周密的手术方案,全力保障患者安全。
9月12日,在多学科密切配合下,患者在全麻状态下成功接受了硬质气管镜下Y型金属覆膜支架置入术,撑开了被肿瘤挤压的“生命要道”。术后,患者呼吸困难症状显著改善,当日转入重症监护室观察,次日病情稳定转回普通病房。复查影像及气管镜显示,气管管腔通畅,支架位置理想、扩张良好,未见明显并发症。患者术后恢复顺利,5天后康复出院。


患者术后胸部CT及镜下图片
该手术不仅有效解除了患者气道狭窄所致的呼吸困难,也避免了食物经瘘口进入气管引发的反复肺部感染,显著提升了患者的生活质量。
特色专科介绍
解放路院区肺病二科常规开展局麻、全麻下常规电子支气管镜检查、气管镜下吸痰治疗、肺组织活检、气管镜肺泡灌洗术、气管异物取出、球囊扩张、纵膈淋巴结穿刺术、镜下热消融术、冷冻术、气道内支架置入等技术,为排痰困难、疑难肺部感染、肿瘤、气道狭窄、气管食管瘘患者提供了优质的服务技术及诊疗方案。以往丰富的治疗经验为此例手术的成功奠定了基础。
Y型金属覆膜支架置入技术(四级手术)相对复杂且难度系数高,是对该院呼吸介入水平的考验,该例手术的成功实施标志着该院呼吸介入事业更上一层楼。与此同时,此例手术也彰显了该院在处理困难气道方面的麻醉专业能力,也为今后类似病例的麻醉与手术治疗积累了宝贵经验。
今后,医院将持续致力于提升医疗技术水平,为更多患者提供安全、有效的医疗服务。(通讯员 周萍 林雪)