杏林绽新辉:单县中心医院开展肿瘤冷热消融治疗及肿瘤物穿刺活检纪实
鲁网1月3日讯 在单县中心医院肿瘤科,和光宇副主任医师带领的主诊组深耕基层肿瘤治疗,勇于开拓创新,凭借精湛的穿刺技术以及锲而不舍的钻研精神,独立自主地开展了肿瘤射频消融、微波消融、冷冻消融、肿瘤物穿刺活检等治疗技术,为肿瘤患者带来了治疗的希望和曙光。

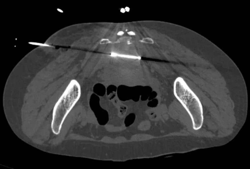
肛管癌骶部转移冷冻消融术术中的医学影像图片

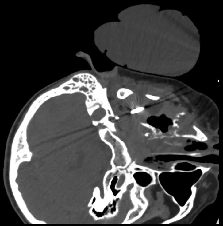
硬腭癌复发冷冻消融术治疗中的医学影像图片
在肿瘤冷热消融治疗领域,该主诊组成功实施了椎体转移瘤消融联合骨水泥填充、腰椎转移瘤伴压缩性骨折消融联合骨水泥填充、肺肿瘤消融治疗、肺小结节消融治疗、肝肿瘤消融治疗、甲状腺肿瘤消融治疗、腹膜后转移瘤消融治疗、腹膜后淋巴结转移瘤消融治疗、肾脏肿瘤消融治疗、妇科肿瘤消融治疗、食管癌胃镜下管内消融治疗、硬腭癌颅底转移消融治疗、盆壁肿瘤消融治疗、盆壁占位消融治疗、骶骨及骶前转移瘤消融治疗、髂骨、肱骨转移瘤消融治疗联合骨水泥填充、胃肠间质瘤消融治疗等全身多部位肿瘤冷热消融术。
通过长期大量的临床实践,该主诊组在肿瘤物穿刺活检方面积累了深厚且扎实的临床实操经验,技术范畴涵盖了多部位经皮骨穿刺活检、经皮胰腺穿刺活检、经皮腹膜后占位穿刺活检、肝穿刺活检、肾及肾上腺占位穿刺活检、肺穿刺活检、甲状腺穿刺活检、乳腺占位穿刺活检、纵隔肿物穿刺活检、小肠、大肠肿物经皮穿刺活检、喉癌经皮穿刺活检等多项精细的操作,为肿瘤的精准诊断和后续有效治疗提供了坚实的技术支撑与保障。
在医学领域的持续探索中,单县中心医院凭借专业精进的医疗团队与前沿技术的精准运用,在肿瘤治疗方面取得累累硕果,为众多患者带来新生希望,彰显出医院在守护人民健康征程中的坚实力量与使命担当。(通讯员 刘朝晖 刘亚鲁)
责任编辑:李明玉