-
知·信·行:基于临沂市红色资源建构理念的学校思政教育范式研究
临沂市作为全国著名的革命老区,拥有沂蒙精神、孟良崮战役遗址、沂蒙红嫂纪念馆等丰富且独特的红色资源,这些资源是学校思政教育的宝贵精神财富。
鲁网 | 2025-10-16 17:07 -
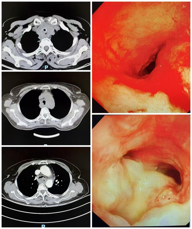
临沂市中医医院成功实施Y型支架置入术,封堵瘘口畅通呼吸
近日,临沂市中医医院解放路院区肺病二科(呼吸与危重症医学科)主任医师耿玉青与麻醉副主任医师黄振强带领团队紧密协作,成功为一名因食管肿瘤导致恶性气道狭窄并伴有气管食管瘘的患者,实施了硬质气管镜下Y型金属
鲁网 | 2025-10-15 11:21 -
临沂金盾小学开展“金盾好课堂”展评活动
近日,临沂金盾小学开展了“金盾好课堂”语文校级展评活动。
鲁网 | 2025-10-14 19:03 -
鲁网网评|从“主动去”到“受邀请” 沂蒙精神何以成为大学思政课的活教材
10月14日,“沂蒙精神代代传”主题宣讲走进中国海洋大学崂山校区,这是自开展“沂蒙精神代代传”以来首次受邀走进高校宣讲。
鲁网 | 2025-10-14 15:53 -
国家税务总局菏泽市税务局第一稽查局依法查处一起总分机构加油站偷税案件
前期,国家税务总局菏泽市税务局第一稽查局根据税收大数据分析线索,依法查处了菏泽市丰丰钢结构有限公司偷税案件。
国家税务总局山东省税务局 | 2025-10-14 11:10 -
同一公司下属5个加油站账外收款偷税被查——揭秘菏泽市丰丰钢结构有限公司偷税案件
前期,国家税务总局菏泽市税务局第一稽查局依法查处了菏泽市丰丰钢结构有限公司偷税案件,依法追缴少缴税费款、加收滞纳金并处罚款,共计2156 87万元。
鲁网 | 2025-10-14 11:10 -
山东目前全省平均降水量较常年同期偏多30.4%
10月11日,记者从省水文中心了解到,10月上旬全省平均降水量113 7毫米。今年以来,全省平均降水量805 2毫米,较常年同期偏多30 4%,较
大众新闻·农村大众 | 2025-10-13 10:42 -
从“办得了”到“办得好”,济南迈向“赛事名城”
10月5日至18日,2025济南国际网球公开赛在济南奥体中心举行,近半个月的赛程里,ATP国际男子网球挑战赛(CH125)与WTA国际女子网球系列
齐鲁晚报 | 2025-10-13 10:41 -
国产九价HPV疫苗,正式在山东投入使用
10月12日,国产九价HPV疫苗山东首针接种仪式在济南市高新区举行。此次仪式标志着我国自主研发的九价HPV疫苗正式在山东投入使用,为当地
济南报业全媒体 | 2025-10-13 10:40 -
20万平米车间变玉米晾场!政企联动解困境打响秋收保卫战
连绵阴雨给秋收工作带来严峻挑战,农户陷入“收与存”的两难困境。山东曹县庄寨镇政企联动、干群同心,一场与时间赛跑的秋收保卫战迅速
大众新闻 | 2025-10-13 10:37 -
打造品牌,将乡村资源变为市场竞争力
10月12日,由山东省人民政府发展研究中心、山东省农业农村厅(省乡村振兴局)、中共山东省委党校(山东行政学院)、滨州市人民政府共同
大众日报 | 2025-10-13 10:34 -
临沂商城国际贸易服务大厅外国人来华工作“一件事”获外商点赞
今年以来,为更好地服务临沂商城国际化,助力临沂“商城出海”,市行政审批服务局牵头建设临沂商城国际贸易服务大厅。
鲁网 | 2025-10-12 21:10 -
临沂市新增2家中国农技协科技小院
近日,中国农村专业技术协会公布了《关于同意设立“中国农村专业技术协会科技小院”的批复》,在全国再设立195家科技小院,临沂市科协参与共建的郯城稻麦产业科技小院、平邑金银花科技小院入选。
鲁网 | 2025-10-12 21:07 -
抢先看!2025猫砂产业大会重量级嘉宾名单公布,10月22日江苏徐州见
10月22-24日,由山东省宠物行业协会主办、徐州市舒正宠物用品有限公司特别支持,聚焦猫砂产业顶层趋势、产业链协同、品牌增长与未来生态的行业盛会——2025猫砂产业大会,将在江苏徐州举办。
鲁网 | 2025-10-11 16:55 -
回家的路
如今在山东梁山,结婚生子为生活而打拼。
鲁网 | 2025-10-10 20:38 -
万次回响—聆听心巢之声 浪潮智慧文旅打造AI智能交互品牌——巢心回响
浪潮智慧文旅依托AI情感交互技术,开启智能硬件发展新纪元,打造AI智能交互品牌“巢心回响”。
鲁网 | 2025-10-10 20:37 -
防霉变,秋粮抢烘忙入库
近期,连绵不断的阴雨天气给我省秋收带来不小的影响。在秋粮抢收一线,各地的粮食烘干服务点为秋粮归仓提供“最后一公里”服务。
大众新闻·大众日报 | 2025-10-10 16:54 -
山东中职学生学籍学历查询系统启用
即日起,山东省中职学生学籍学历查询系统全面启用。
舜网-济南时报 | 2025-10-10 16:47 -
空军、海军面向山东各市招收飞行学员!通知来啦
近日,山东省教育招生考试院、海军招收飞行学员工作办公室、空军招飞局济南选拔中心印发了《关于做好山东省2026年度军队招收飞行学员工作的通知》。
山东教育发布 | 2025-10-10 16:45 -
全省秋雨破纪录 70多年同期最多
9日6时至11时,山东有12市再现降雨,折合新增水量约2 2亿立方米。预计至13日,山东仍将出现持续阴雨天气。
舜网-济南日报 | 2025-10-10 16:43








